|
AUMENTANDO
DIMENSION VERTICAL SIN
COSTO BIOLÓGICO
Dr.
Hugo Pacheco
Rehabilitador
Oral, Bolivia
cro1@mixmail.com
La necesidad de una posición
ortopédica adecuada, antes del inicio de una rehabilitación oral completa, es
de mucha importancia para el éxito del tratamiento.
Pero muchas veces
rehabilitaciones extensas de pacientes con una dentición gravemente desgastada
pueden requerir tratamientos demasiados agresivos e invasivos para el remanente
biológico.
El objetivo principal del tema
es analizar detalladamente la dimensión vertical y proponer una herramienta clínica
útil, simple, rápida, predecible, reparable, económica y sobretodo respetuosa
del remanente biológico.
DIMENSION
VERTICAL
Se define dimensión vertical
como la distancia entre dos puntos seleccionados, uno sobre un elemento fijo y
otro sobre un elemento móvil. Generalmente
el punto fijo se ubica en el maxilar a nivel nasal o sub-nasal y el punto móvil
en la mandíbula a nivel del mentón.
Existen diferentes posiciones
que puede adoptar la mandíbula en el plano vertical.
De éstas, las que tienen mayor importancia clínica son:
Dimensión Vertical de Oclusión
(DVO): que es la distancia medida
entre dos puntos cuando las piezas dentarias se encuentran en contacto, es decir
que no existe espacio de inclusión ( 0 mm).
Dimensión Vertical Postural (DVP):
también llamada de reposos clínico, en ella la distancia de inclusión
esta determinada cuando el paciente se ubica en una posición fisiológica
de descanso, los músculos en equilibrio tónico, el individuo en posición
erecta y de descanso.
Dimensión
Vertical de Reposo Neuromuscular: la
mandíbula esta separada del maxilar a una distancia interoclusal de 8 a 10 mm,
en esta posición se produce una menor actividad electromiográfica tónica.
Dimensión Vertical Optima: es la altura del segmento inferior de la cara cuando hay un
espacio de 15 a 20 mm, aquí se produce la mayor fuerza masticatoria.
Es importante recalcar que
tradicionalmente se han usado y se usan diferentes métodos para establecer la
dimensión vertical adecuada pero hasta la fecha no existe un método único
capaz de responder con total exactitud.
Existen un sin número de
alternativas escritas en la literatura (métodos fonéticos, estéticos,
antropométricos, cefalométricos, con instrumentos, etc...) pero muchas de
ellas han probado en el tiempo, según los nuevos estudios y avances de carecer
de veracidad y ser fácilmente alterables, por ello pueden entorpecer nuestra
rehabilitación.
Es importante que el clínico
sepa que, basado en numerosos estudios, existe un nivel o gama de alturas dentro
de la cual los músculos pueden trabajar y desarrollar todas sus funciones,
estudios actuales revocaron antiguos mitos y demostraron concluyentemente que
incrementos de la altura facial inferior necesarios para restaurar la oclusión
perdida, pueden realizarse sin riesgo de desencadenar problemas funcionales y/o
asintomático en el sistema estomatognático a condición de que la oclusión
terapéutica genere estabilidad bilateral.
Las investigaciones dieron
como resultado un período de discomfort de aprox. 48 hrs, seguidas de una
adaptación del sistema muscular de aprox. 21 días que a nivel fisiológico
representa un aumento del número de sarcómeras en serie lo que determina la
elongación de las fibras musculares.
De ahí, que el resultado sea
prácticamente satisfactorio, no importando el método empleado para establecer
la DVO, sobre todo cuando se combinan varios de ellos para tener mejor
aproximación. Después de todo, la
dimensión vertical como otros aspectos cuantificables en el cuerpo humano
(presión arterial según peso, como ejemplo) no son valores rígidos ni fijos;
de este modo la visión del clínico para registrarla actúa en un rango
variable.
Caso
Clínico


Paciente:
Sexo
masculino, edad 55 años acude a la
consulta para
un arreglo estético en el sector anterior
Diagnóstico:
Desgaste
excesivo en las piezas dentarias, sobretodo en el grupo 2, con pérdida de
dimensión vertical por bruxismo céntrico y excéntrico
Tratamiento:
Rehabilitación
general con aumento de dimensión vertical y reposicionamiento mandibular

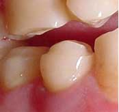
Cementado
adhesivo de los Overlays, con lo que recuperamos la Dimensión Vertical y
tenemos el espacio adecuado para rehabilitar el sector anterior
Note
el mínimo preparo en los posteriores gracias a la odontología adhesiva
Obtenida
la estabilidad posterior, se reconstruyo la guía anterior de manera directa con
estratificación de composite
Posteriormente
se fabricó un plano protector como coadyuvante de la rehabilitacion

Caso
clínico concluido
con total respeto al sustrato dentario
CONCLUSIONES
En
el pasado la única manera de rehabilitar pacientes con severo desgaste de
piezas dentarias era con prótesis periféricas fijas (coronas).
Hoy,
la adhesión permite rehabilitar casos complejos de manera: simple, rápida,
predecible, reparable, económica y lo más importante, preservando la
integridad del remanente dentario, en otras palabras sin
costo biológico.
|